Tooth Coloured Fillings
Cosmetic Dentistry
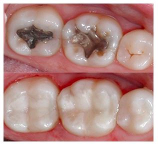
Modern dentistry now provides a hard wearing, cosmetic alternative to the traditional silver amalgam fillings. Using tooth-coloured composite resins that match the shade, translucency and texture of your teeth we can provide a natural-looking alternative to dark, unfashionable amalgam fillings that stand out unfavourably against your naturally white teeth.
Another major benefit of tooth-coloured fillings is that they bond to your teeth so less of your natural tooth surface needs to be removed in preparation, resulting in smaller fillings. They can often be completed in just a single appointment, making them less time-consuming and expensive than other tooth restoration treatments.
Composite resin bonding can work wonders on your smile, concealing chips, closing gaps, covering stains and discolouration, or even repairing a broken front tooth.
BUSINESS HOURS
| MON | 9:00 AM - 7:30 PM |
| TUE | 9:00 AM - 7:30 PM |
| WED | 9:00 AM - 7:30 PM |
| THU | 9:00 AM - 7:30 PM |
| FRI | 9:00 AM - 6:00 PM |
| SAT | 8:30 AM - 12:00 PM |
| SUN | CLOSED |
6/426-430 Burwood Highway
Wantirna South VIC 3152


















